Nuchal Translucency / Early Anatomy / Pre-eclampsia Screening
Between 11 weeks and 14 weeks gestation, many of the ultrasound screening tests can be performed. QUFW recommends for this assessment to be done in the 13th week of pregnancy.
The routine combined first trimester screening (CFTS) test can be evaluated for the likelihood of chromosome abnormalities such as Trisomy 21, 18 and 13. It incorporates the ultrasound findings of the Nuchal Translucency (NT and the presence of the baby’s nasal bone), with blood tests of hormone markers, free bhCG and PAPP-A results to create a risk assessment.
At this stage of pregnancy, an early anatomy scan will also be performed. We can detect major structural anomalies which can impact on the management of your pregnancy. The first trimester early anatomy assessment is routinely performed during the CFTS or as its own examination if a NIPT has been performed previously.
As a NIPT has a higher sensitivity for detection of chromosomal abnormality, the Downs syndrome screening risk assessment from the Nuchal Translucency assessment is generally not recommended to be provided if a prior low probability NIPT result has been provided.
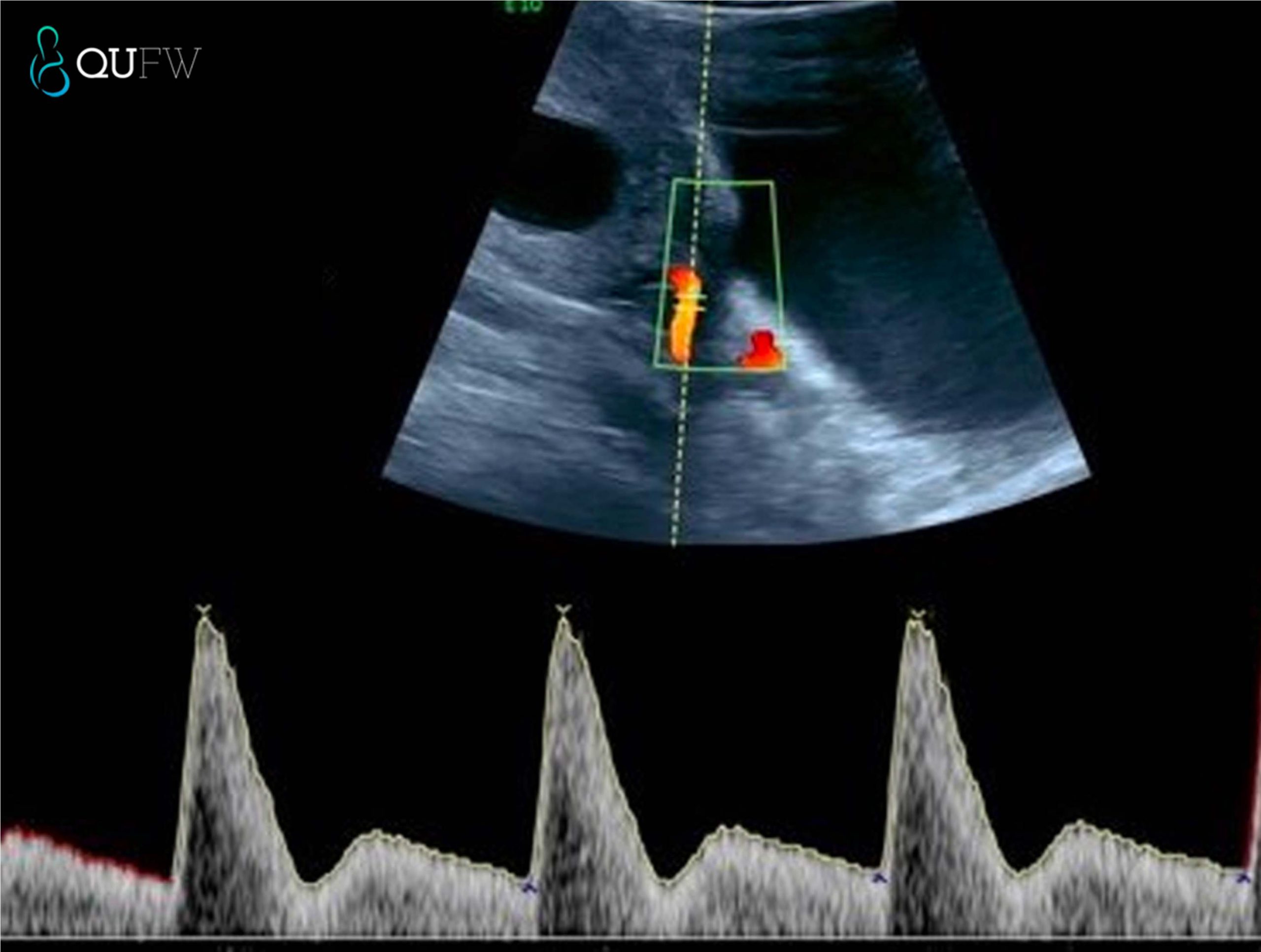
Early onset preeclampsia is an additional screening test that QUFW performs at the Nuchal Translucency/First Trimester Anatomy scan. Hypertension or high blood pressure can develop into a serious medical condition for both the mother and the fetus that may require medication and closer monitoring.

Uterine artery Doppler trace for pre-eclampsia screening assessment
Combined First Trimester Screening (CFTS) Or Nuchal Translucency Scan (13 weeks – 13 weeks 6 days)
The nuchal translucency (NT) screening test is a non-invasive screening test to determine how likely your unborn baby will have a chromosomal abnormality, such as Down syndrome. The test combines the mother’s age related risk, a blood test determining the levels of hormones secreted by the placenta (free βhCG & PAPP-A), the length of the baby from head to bottom (crown to rump length or CRL) and the nuchal translucency measured on ultrasound.
The CRL must be between 45 and 84 mm for the testing to be performed, that is, about 11 to 14 weeks pregnant. The nuchal translucency is a measurement of fluid behind the baby’s neck that is present in all babies during the first trimester of pregnancy. An increased NT measurement has an association with chromosome abnormalities but can also be associated with structural abnormalities e.g. heart. The fetus can have normal chromosomes even with an increased NT. The combined first trimester screening test (age + nuchal translucency + bloods) has a 90% accuracy for predicting your risk for Down Syndrome and some other chromosomal abnormalities.
The preferred timing for visualisation of the NT, NB and other anatomical structures is between 12 – 13 weeks 6 days. At QUFW, we prefer bookings to be between 13 weeks and 13 weeks 6 days. A week can make a difference in the visibility of anatomical structures.
First Trimester/Early anatomy ultrasound (13 weeks – 13 weeks 6 days)
At this stage of pregnancy, we can often detect major structural anomalies which can impact on the management of your pregnancy. The first trimester early anatomy assessment is routinely performed during the CFTS or as its own examination if a NIPT has been performed previously.
The following are some of the fetal structures assessed by our sonographers and doctors during a first trimester early anatomy ultrasound. These are assessed in keeping with international guidelines and with what we would expect to see structurally and embryologically at this gestation
- Cranial bones
- Fetal brain
- Nuchal translucency thickness
- Face/orbits/midline facial structures
- Nasal bone
- Fetal profile and mandible
- Chest including diaphragm
- Cardiac activity and early heart structures
- Abdomen including stomach, bladder, kidneys, abdominal cord insertionand 3 vessel cord
- Spine and intact overlying skin
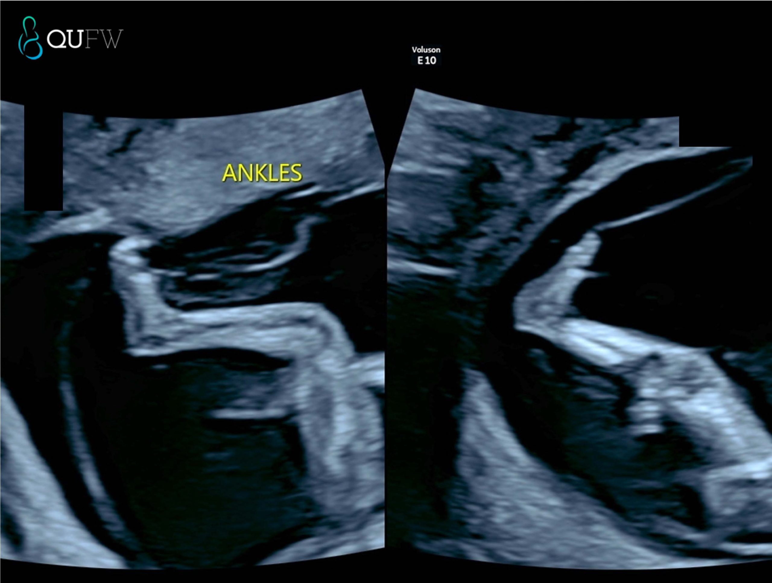
- Extremities – upper limbs/lower limbs including hands and feet
Early structural assessment of the fetal heart

Early structural assessment of the fetal face

Early structural assessment of the fetal brain

Early structural assessment of the upper limbs

Early structural assessment of the lower limbs

Early structural assessment of the spine
ISUOG Practice Guidelines: performance of firsttrimester fetal ultrasound scan
Chromosomal Abnormalities
Each of our cells has 46 chromosomes; 23 chromosomes come from the sperm and 23 from the egg. The most common chromosomal abnormality is Down syndrome (Trisomy 21) which occurs when a baby receives an extra or third chromosome 21. Some other less common chromosomal abnormalities are Trisomy 18 and 13, which also involve an extra chromosome 18 or 13 respectively. None of these conditions can be detected on ultrasound alone and it is important to know that the nuchal scan and NIPT are screening tests. The diagnostic test for chromosomal abnormalities is a chorionic villus sampling (CVS) or amniocentesis.
Preparation
It is recommended to empty your bladder 1 hour prior to your scan, then drink 2 glasses of water and then do not empty your bladder. You are welcome to bring your family members or a close friend to your scan. Children are welcome but their attention span may be limited for the duration of the ultrasound, so it is helpful if another adult is available to help look after them.
If you have decided to have the Combined First Trimester Screening or Nuchal Translucency assessment and have not had a NIPT, you are required to have a blood test (βhCG & PAPP-A) at least 3 working days prior to your scan, so that these results will be accessible for the risk assessment. Your Doctor will need to refer you for this test.
Please bring with you:
- A referral from your Doctor
- Previous scans such as early pregnancy dating scans (if performed elsewhere)
- Information on any hereditary conditions
What to expect
Allow 1-1.5 hours for your appointment. The examination is performed by one of our highly trained obstetric Sonographers using state of the art ultrasound equipment. The scan includes an examination of the baby’s early anatomy, however not all structural abnormalities can be determined at this stage. We will also measure the length of the baby (crown rump length) to confirm the due date. Other anatomy that will be looked at include your ovaries, uterus and your cervix.
Transvaginal Scanning
Occasionally, a transvaginal scan is required to obtain the images needed to complete the examination. Transvaginal ultrasounds are performed with discretion at QUFW and are perfectly safe during pregnancy.
3D/4D Scanning
The majority of the scan is completed in normal 2D (greyscale) as this offers the best resolution for detecting abnormalities. We will also try to obtain some nice pictures in 3D/4D of your baby, but this is very dependent on the baby’s position, the amount of amniotic fluid and maternal issues like placental position, abdominal scarring and maternal habitus.
Results
A highly trained Sonographer or Doctor will discuss the results with you. In relation to the Combined First Trimester Screening ultrasound, the computer program that we use to calculate the risk, a risk of less than 1:300 implies that the baby has a low probability of having a chromosomal abnormality such as Down syndrome. If the risk calculated is greater than 1:300 (e.g. 1:50) it is implied that there is an increased probability that the baby has a chromosomal abnormality and further testing options (CVS/ amniocentesis) will be discussed with you.
1 in 300 is a cut-off set by the scientists who have formulated the program at the level of about 5% of the pregnant population and approximately the risk of loss after amniocentesis. So it is a fair objective number to compare the result with. However the true assessor of risk is you, the patient, and the decision to proceed to further testing is one that can be discussed with your referring Doctor. You will receive a copy of the report and a copy will also be sent to your referring Doctor.
Can ultrasound harm my baby?
There have been no proven harmful effects of using ultrasound during pregnancy. However, at QUFW we follow the ALARA principle.
Can I find out the sex of my baby?
Correlation with known NIPT results and the fetal gender may be assessed at the First Trimester Anatomy scan. However, the external genitalia is more accurately visualised and assessed at the 20 week morphology scan.
What if I have a high risk result?
Not all babies that have a high risk result have Trisomy 21 but the result may help you decide if you wish to investigate further with a diagnostic test such as CVS or Amniocentesis. It is worth comparing the risk of miscarriage through doing a diagnostic test such as CVS or Amniocentesis with the risk of chromosomal abnormality.

Nuchal translucency assessment
about QUFW
QUFW provides a comprehensive range of obstetrics services for singleton and multiple pregnancies, including screening, tertiary opinion and invasive testing. In addition, our gynaecology ultrasound examinations are equally expansive from routine to gynaecology procedures.
Beyond your scan, we believe in comprehensive care. Our team takes the time to discuss findings with you, answering your questions, addressing your concerns, and providing you with support and guidance. We value the trust placed in us and are committed to delivering ultrasound and other women’s health services to our community and beyond. We are QUFW. We are here for you.
FREQUENTLY ASKED QUESTIONS
What are your opening hours?
Our Brisbane practice is open Monday – Friday 8am to 5pm, Saturday 8am-12:30pm.
Our Ipswich, Southport and Tugun practices are open between Monday – Friday 8am to 5pm.
Where can I park my car?
Spring Hill: Metered street parking on Little Edward and Boundary Streets (Please be aware of the clearway zone at certain times of the day).
Parking underneath the Leichhardt Court building (orange section) with entry via Hope Street. Online bookings are recommended through Wilson parking.
Southport: 4 hour metered parking is available on Short Street. Additional car parking available in the Gold Coast City Council Carey Carpark and Australia Fair Shopping Centre
Ipswich: Onsite Parking is available at the back of the Medical Centre. Metered on street Ipswich City council parking is also available.
Tugun: Onsite car parking is available in the John Flynn Hospital campus.
How much will my scan cost?
The cost of the ultrasound and consultation will be discussed at the time of making an appointment. We request that accounts be settled on the day after the consultation. We have EFTPOS and accept MasterCard, VISA and American Express. We are a private medical ultrasound service and we do not routinely bulk bill as this would not allow us to provide the best comprehensive service for our patients.
How long will the appointment take?
Our scans can range from approximately 30-60 minutes depending on the type of scan, but please allow up to 90 minutes. Occasionally there are unexpected delays. If a problem is detected in a routine ultrasound, it will be discussed with you at the time of your appointment. In this situation, further examination and reassessment may extend over a longer period depending on the complexity of this problem and individual patient needs. This process may lead to delay of the assessment of other women’s appointments.
We apologise for these delays which are unpredictable and we make every effort to avoid significant patient inconvenience. We ask that you demonstrate kindness to our staff if there is an unforeseen delay. We recommend that you ring our rooms in advance to check that we are not significantly delayed so you can plan your day and parking arrangements.
Can I bring another person to my appointment?
At QUFW, we allow two support people to attend your appointment. One of these support people may be a child. Sometimes pregnancy ultrasounds can be a long time for your little one’s attention span, so we request that the other support person is a supervising adult who may be able to attend to your child during the scan if necessary. If you are a surrogate patient, we are happy to discuss this with you when you make your appointment.
Latest News & Feature Articles

What does it mean if I have been diagnosed with ‘high-risk preeclampsia’?
Preeclampsia is a pregnancy-related condition that typically develops after 20 weeks. This...

Frequently Asked Questions about a Morphology Scan
Morphology assessment of the fetal brainA morphology scan is an exciting and important part of...
Do you have any questions?
BRISBANE
Suite 11E, Level 1
Leichhardt Court
55 Little Edward Street
Spring Hill, QLD 4000
07 3831 1777
07 3831 1788
brisbane@qufw.com.au
Southport
Level 4,
7 Short St
Southport, QLD 4215
07 5528 3849
TUGUN
Suite 8B, Level 8
Fred McKay House
42 Inland Drive
Tugun QLD 4224
07 5610 4973
07 5604 1192
tugun@qufw.com.au
IPSWICH
Suite 5B,
10 Churchill Street,
Ipswich, QLD 4305
07 3447 9111
07 3492 9299
ipswich@qufw.com.au