Pre IVF Workup
Your referring doctor may recommend a Pre-IVF Fertility workup as part of a checkup to understand the factors that may be affecting your fertility.
As part of the workup, they may request that you have a routine pelvic ultrasound to rule out any concerns that may affect your journey through IVF.
Here are the components commonly included in a routine gynaecological ultrasound:
- Uterus: The ultrasound scan examines the size, position and shape of the uterus such as a septate or bicornuate uterus. It evaluates the endometrium (the lining of the uterus) for thickness and abnormalities, which can be important in evaluating causes of fertility issues. The ultrasound can also detect fibroids (benign tumours in the uterine muscle) or polyps (growths in the endometrium). 3D/4D ultrasound techniques are routinely utilised to demonstrate the uterus in the plane that we all recognise from the textbooks.
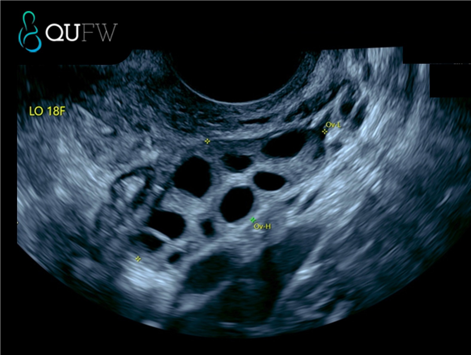
- Ovaries: The scan assesses the size and position of the ovaries, as well as any structural changes. It can identify cysts and monitor their size and appearance. During the assessment, the sonographer will assess the number of antral follicles and follicle sizes. It also can detect solid ovarian masses and help to distinguish between benign and potentially malignant (cancerous) growths.
- Fallopian tubes: While these structures are usually not seen unless they are dilated or filled with fluid (a condition known as hydrosalpinx), any visible abnormalities will be evaluated.
- Pelvic area: If there is free fluid or any masses in the pelvis (the area between the hip bones), these will be noted and characterised.
- Assessment for Deep Infiltrating Endometriosis: an assessment for evidence of Deep Infiltrating Endometriosis is performed in all gynaecological ultrasound assessments at QUFW
- Cervix: The cervix can be evaluated for any structural abnormalities, especially during a transvaginal ultrasound.
HyFoSy Fertility Assessment
HyFoSy is a specialised ultrasound procedure used to assess the inside of the uterus and the fallopian tubes.
- A routine gynaecology ultrasound is performed prior to the procedure
- The assessment involves assessing the endometrial by inserting a solution of saline (salt water) into the uterine cavity to better understand any concerns that may be impacting the lining of the uterus and the cavity.
- This is followed by inserting a solution of a contrast material (called Exem Foam™) into the uterine cavity and observing the flow within the fallopian tubes.

3D reconstructed coronal image of the uterus

Left ovary showing follicles
about QUFW
QUFW provides a comprehensive range of obstetrics services for singleton and multiple pregnancies, including screening, tertiary opinion and invasive testing. In addition, our gynaecology ultrasound examinations are equally expansive from routine to gynaecology procedures.
Beyond your scan, we believe in comprehensive care. Our team takes the time to discuss findings with you, answering your questions, addressing your concerns, and providing you with support and guidance. We value the trust placed in us and are committed to delivering ultrasound and other women’s health services to our community and beyond. We are QUFW. We are here for you.
FREQUENTLY ASKED QUESTIONS
What are your opening hours?
Our Brisbane practice is open Monday – Friday 8am to 5pm, Saturday 8am-12:30pm.
Our Ipswich, Southport and Tugun practices are open between Monday – Friday 8am to 5pm.
Where can I park my car?
Spring Hill: Metered street parking on Little Edward and Boundary Streets (Please be aware of the clearway zone at certain times of the day).
Parking underneath the Leichhardt Court building (orange section) with entry via Hope Street. Online bookings are recommended through Wilson parking.
Southport: 4 hour metered parking is available on Short Street. Additional car parking available in the Gold Coast City Council Carey Carpark and Australia Fair Shopping Centre
Ipswich: Onsite Parking is available at the back of the Medical Centre. Metered on street Ipswich City council parking is also available.
Tugun: Onsite car parking is available in the John Flynn Hospital campus.
How much will my scan cost?
The cost of the ultrasound and consultation will be discussed at the time of making an appointment. We request that accounts be settled on the day after the consultation. We have EFTPOS and accept MasterCard, VISA and American Express. We are a private medical ultrasound service and we do not routinely bulk bill as this would not allow us to provide the best comprehensive service for our patients.
How long will the appointment take?
Our scans can range from approximately 30-60 minutes depending on the type of scan, but please allow up to 90 minutes. Occasionally there are unexpected delays. If a problem is detected in a routine ultrasound, it will be discussed with you at the time of your appointment. In this situation, further examination and reassessment may extend over a longer period depending on the complexity of this problem and individual patient needs. This process may lead to delay of the assessment of other women’s appointments.
We apologise for these delays which are unpredictable and we make every effort to avoid significant patient inconvenience. We ask that you demonstrate kindness to our staff if there is an unforeseen delay. We recommend that you ring our rooms in advance to check that we are not significantly delayed so you can plan your day and parking arrangements.
Can I bring another person to my appointment?
At QUFW, we allow two support people to attend your appointment. One of these support people may be a child. Sometimes pregnancy ultrasounds can be a long time for your little one’s attention span, so we request that the other support person is a supervising adult who may be able to attend to your child during the scan if necessary. If you are a surrogate patient, we are happy to discuss this with you when you make your appointment.
Do you have any questions?
BRISBANE
Suite 11E, Level 1
Leichhardt Court
55 Little Edward Street
Spring Hill, QLD 4000
07 3831 1777
07 3831 1788
brisbane@qufw.com.au
Southport
Level 4,
7 Short St
Southport, QLD 4215
07 5528 3849
TUGUN
Suite 8B, Level 8
Fred McKay House
42 Inland Drive
Tugun QLD 4224
07 5610 4973
07 5604 1192
tugun@qufw.com.au
IPSWICH
Suite 5B,
10 Churchill Street,
Ipswich, QLD 4305
07 3447 9111
07 3492 9299
ipswich@qufw.com.au